Willkommen in unseren Zahnarztpraxen in Linnich und Baal

Wir machen Lachen.

Vom ersten bis zum letzten Zähnchen. Seit über 35 Jahren betreuen wir über 14000 Patienten. Erfahrung zählt.

2023 wurde Dr. Schneider mit dem Zertifikat "Tätigkeitsschwerpunkt der DGI" geehrt. Seit vielen Jahren ist er als Master of Oral Medicine und Master of Oral Implantology and Dental Surgery ein anerkannter Spezialist für neue, feste Zähne.

Ihr Dr. Henry Schneider, Master of Oral Implantology and Dental Surgery, Master of Oral Medicine
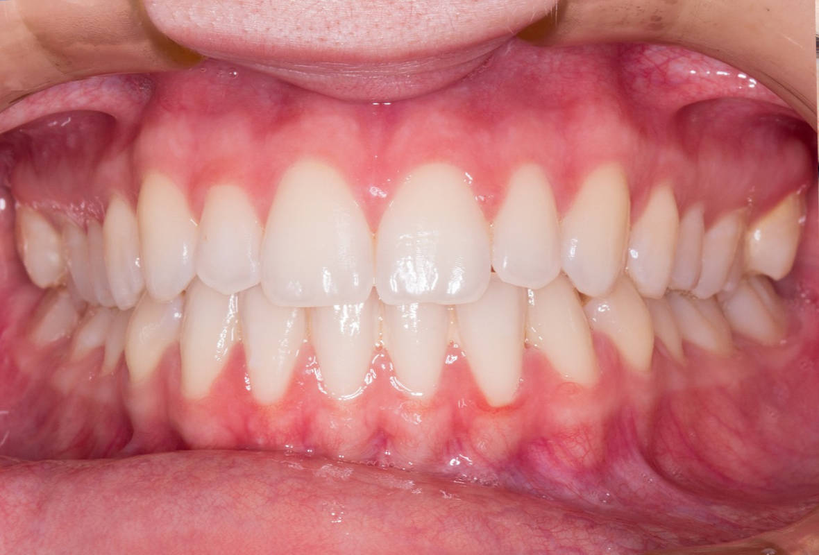
hero banner

Unsere Leistungen

Rundum Mundgesund.

  • service icon

    Zähne lebenslang.

    Wir kämpfen um jeden Zahn und finden immer eine Lösung.

  • service icon

    Schöne Zähne.

    Wir machen Ihr neues Lachen.

  • service icon

    Gesunde Zähne

    Vorbeugung und Pflege - vom ersten bis zum letzten Zahn.

  • service banner
  • service icon

    Angstpatienten

    Wir helfen auch in schwierigen Fällen.

  • service icon

    Zahnersatz

    Implantate und Zahnersatz: wir finden die passende Lösung.

  • service icon

    Modernste Methoden

    Am Puls der Zahnmedizin: mit Augenmaß und großer Erfahrung.

about banner

Unsere Praxisphilosophie

Wir machen Sie gesund!


Seit über 35 Jahren betreuen wir über 12000 Patienten rund um Mund und Zähne. Grösste Kompetenz - mit unseren Tätigkeitsschwerpunkten Ästhetische Zahnheilkunde und Zahnfleischbehandlung und mit universitärem Zusatzstudium als "Master of Oral Implantology and Dental Surgery" und als "Master of Oral Medicine".

An zwei Standorten finden Sie uns: im Kreis Düren in Linnich, direkt im neuen Zentrum. Im Kreis Heinsberg in Hückelhoven-Baal, in der Pflegeeinrichtung "Herbstsonne" am Pastor-Bauer-Platz direkt an der B57. Ausserdem betreuen wir seit langen Jahren fünf Altenheime in der Region direkt vor Ort.

 

Mehr erfahren

Unser Schwerpunkte

Wir sind für Sie da.

cta banner

Parodontitis: wir sind Spezialisten.   

Zahnfleischbehandlung mit modernsten Methoden.  

Mit der von uns entwickelten Methode "antiPA" verfolgen wir einen ganzheitlichen Ansatz zur Bekämpfung der weitverbreiteten Parodontitis. Mit modernsten Therapieschritten versuchen wir nicht nur die Entfernung aller schädlichen Bakterien, sondern auch den Aufbau eines neuen, widerstandsfähigen Keimspektrums mit Probiotika. Ganz nach unserem Motto: "Gesund werden und gesund bleiben!"


Mehr erfahren..

herzlich willkommen in Linnich und Baal

Impressionen  

  • Cras accumsan nulla nec lacus ultricies placerat.

    Praxis Linnich

    Im neuen Zentrum von Linnich liegt unsere Praxis direkt gegenüber von Volksbank, Arztzentrum, Apotheke und Aldi. 

     

    Mehr Fotos..
  • Dras accumsan nulla nec lacus ultricies placerat.

    Betreuung Baal

    Wir sind auch im Kreis Heinsberg bei Bedarf vor Ort. Wir betreuuen mehrere Pflegeeinrichtungen, auch mit Behandlungsmöglichkeiten vor Ort, z.B. in der Pflegeeinrichtung "Herbstsonne"

     

    Mehr Fotos..
  • Seas accumsan nulla nec lacus ultricies placerat.

    Unsere Auszeichnungen

    Nach umfangreicher Zusatzausbildung wurden Dr. Schneider die Titel "Master of Oral Medicine" und "Master of Oral Implantology and Dental Surgery" verliehen. Dr. Schneider ist Spezialist diverser Fachgesellschaften.

     

    Mehr lesen

Wie kommen Sie zu uns?   

In Linnichs neuer Mitte.  

Sie finden uns vor der Rurbrücke, mitten in Linnichs neuer Mitte.  Aufgrund der Innenstadt-Sanierung fahren Sie einfach im Kreisverkehr auf der B57 Richtung Innenstadt und biegen in die Mäusgasse (2. links) ab Richtung Rurbrücke.

 

 

In Baal im Altenheim Herbstsonne.  

Betreuung  in der Mitte von Baal, direkt in der Pflegeeinrichtung "Herbstsonne" am Pastor-Bauer-Platz 7. Ein langjähriger Kooperationsvertrag garantiert die Verbesserung der Gesundheit insbesondere der älteren Patienten auch vor Ort (nach Anmeldung).  

 

Zahnmedizinisches Wissen

Aufklärungsschnipsel  

  • Cras accumsan nulla nec lacus ultricies placerat.
    Bonus=mehr Zuschuss!

    Regelmässig Checkup.

    Eine regelmässige Kontrolle hilft Erkrankungen von Zähnen und Zahnfleisch zu vermeiden. Wir bieten dafür ein bequemes Recall-System.

    Mehr Lesen
  • Dras accumsan nulla nec lacus ultricies placerat.
    Gesund im Mund!

    Professionelle Reinigung.

    Ein sauberer Zahn ist selten krank. Unser Angebot umfasst auch die professionelle Zahnreinigung, ein "Grundreinemachen" zum günstigen Service-Preis. Gerne auch als "Flatrate", damit mit immer alles perfekt ist.

    Mehr Lesen
  • Seas accumsan nulla nec lacus ultricies placerat.
    Keep on smiling!

    Unsichtbare Füllungen.

    Wir verwenden seit 30 Jahren kein Amalgam mehr. Die große Erfahrung mit unseren plastischen Keramikfüllungen  zum günstigen Preis zahlt sich aus: wir wissen, was das beste für Sie ist.

    Mehr Lesen
  • Seas accumsan nulla nec lacus ultricies placerat.
    Lieber spät als nie!

    Angst vor dem Zahnarzt.

    Angst ist ein schlechter Ratgeber. Wir versuchen, mit Ihnen den Weg zu einer vertrauensvollen, langfristigen Lösung ohne Angst zu finden. Sie profitieren von unserer langen Erfahrung mit Angstpatienten.

    Mehr Lesen
  • Seas accumsan nulla nec lacus ultricies placerat.
    Auch für das Herz!

    Zahnfleischerkrankung.

    An einer Parodontitis (Zahnfleischerkrankung) leidet die Mehrheit der Erwachsenen. Wir haben 30 Jahren Erfahrung und ein ausgefeiltes Konzept bei der Behandlung auch schwieriger Fälle.

    Mehr Lesen
  • Seas accumsan nulla nec lacus ultricies placerat.
    Kraftvoll zubeißen!

    Feste Zähne.

    Zahnersatz mit und ohne Implantaten - der richtige Weg zu festen Zähnen. Das muss nicht teuer sein: wir bieten alles aus einer Hand, gerne auch mit preiswerter Herstellung des Zahnersatzes in Deutschland oder im Ausland.

    Mehr Lesen